في الجزء الثاني من الموضوع تناولنا تقنيات الخداع الإدراكي كالتشتيت الخفي و الصريح ذلك إعتمادا على ثغرات في المخ مثل عمى التغيير و العمى الغير مقصود و أغلب الخدع السحرية تعتمد على هاتين الثغرتين.
هناك تقنية أخرى نضمها للقائمة السابقة سوف نتعرف عليها في الجزء الثالث و الأخير و سوف نتعرف على الأبحاث "السحرية" في مجال علم النفس و الأعصاب.

خداع للعقل أم خداع للعين
كان العلماء بحاجة ماسة إلى معرفة آليات المخ و الإدراك وراء الخدع السحرية لكي تنجح.
كانت اول الدراسات في هذا المجال عام 2005 بواسطة الباحثين "جوستاف كون" و "بينجامين تاتلر".
أحد خطوات تجربة الباحثين كون و تاتلر ،القيام بعرض خدعة سحرية على الأشخاص محل التجربة بينما يتم ملاحظة و قياس حركة العينين.
قام "كون" بعرض خدعة سحرية بإخفاء سيجارة خلف المنضدة و كان الهدف من الخدعة الإجابة عن سؤال و هو: هل السبب وراء عدم فهم المشاهد للحيلة وراء الخدعة ، هو أنه لم يكن ينظر في المكان المناسب في الوقت المناسب أم أنه لم يكن حاضر الذهن بغض النظر عن إتجاه عينيه؟ و كانت الإجابة واضحة: لا فارق أين ينظر المشاهد فهو لن يرى الخدعة مهما حدث!!
بحث علمي أخر أجرى لنفس الهدف لكن بإستخدام خدعة أخرى " الكرة المختفية" و التي تعطي دليل أخر على أن الساحر قادر على خداع المشاهد على مستوى إدراكي عالي و أن إتجاه عين المشاهد غير هام لإحداث التأثير المطلوب.
في خدعة الكرة المختفية ، يمسك الساحر بكرة في يده فيرميها ثم يلتقطها عدة مرات متتالية و في أخر مرة يتظاهر أنه سوف يلقي بها في الهواء و إذا بها تختفي فجأة!!
تكمن الخدعة وراء حركة عين الساحر و رأسه نفسه إذا ان مسار عينه و حركة رأسه يتبع مسار حركة الكرة و في أخر مرة يتظاهر بإلقاء الكرة ، يرى المشاهد حركة عينيه تتبع مسار الكرة و كأنه ألقى بها فعلا في الهواء و لكنه لم يفعل في الحقيقة بل أخفاها في يده ، فتبدو الخدعة و كأن الكرة خرجت من يد الساحر ثم إختفت في الهواء!
بعد سنة من بحثه مع "تاتلر" تعاون "كون" مع عالم الاعصاب "مايكل لاند" ليكتشفا سويا أن المُشاهد لم يكن ينظر إلى المكان الذي إدعى إختفاء الكرة فيه بل أن حركة عين و رأس الساحر مع الكرة كان ضروريا لإتمام الخدعة، لأنها تعمل كنوع من "تشتيت الإنتباه الخفي" بأنه حوّل "إدراك" المشاهد و ليس "العينين" إلى المكان الذي من المفترض أن تتواجد الكرة فيه.
على مستوى خلايا المخ ، وجد "كون" و"لاند" ان الخلايا العصبية التي إستجابت إلى "الحركة الضمنية" للكرة بناءا على مسار حركة عين الساحر و رأسه و التي أعطت توقع بحركة الكرة في الهواء رغم أنها لم تحدث، تقع في نفس المنطقة في المخ حيث تتواجد الخلايا العصبية البصرية التي تنشط في حالة إدراك "الحركة الحقيقة".
فإذا كانت كلتا الحركة الضمنية و الحقيقة تنشط نفس الوصلات العصبية، فلا شك بأن تبدو الخدعة حقيقية تماما.
"عمى التغيير" و "العمى الغير مقصود" ليست الخدع الإدراكية الوحيدة في جعبة الساحر بل هناك أيضا " الإعلام الحركي" و فيه يقوم الساحر بحركة قد تبدو تلقائية مثل حك الرأس باليد ، تعديل الملابس أو القبعة ، و لكن الساحر في هذه الحالات لم يكن يضمر النية الحسنة بل هي جزء لا يتجزأ من الخدعة ، و هذه الطريقة أفضل من القيام بحركة غير منطقية مثل أن يرفع الساحر يده بدون سبب معين يثير الشك لدى الجمهور.
نرى مثال واضح لأساليب "تشتيت الإنتباه الخفي" و "الإعلام الحركي" فى هذا الفيديو للساحرين الشهيرين "بين" و "تيلر"، تابع كل حركة بهدوء و فى جميع الحالات سوف تنخدع بسهولة!
http://www.youtube.com/watch?v=n0JfS...layer_embedded
يسرد "بين" في الفيديو السابق السبعة حيل الأساسية للخدع السحرية بينما يقوم بها تيلر عمليا و هي:
1-أخفي في راحة اليد: و هو أن تبدو بأنك ممسك بشئ في يدك برغم من أنها فارغة أو تمسك بشئ في يدك مع إبداء أنها فارغة (حينما أبدى تيلر بأنه ممسك بالكرة في يده اليسرى و وضعها في جيبه على الرغم من أنها موجودة فعليا في يده اليمنى).
2-التخبئة: و هو أن تخبئ الجسم الذي تمسكه في يدك بحركة خاطفة دون أن يستطيع أحد الملاحظة (عندما قام تيلر بإمساك السيجارة بيده يمنى التي يمسك بها الكرة، و يعدل هندامه بيده اليسرى ليلتقط الكره سراً داخل ملابسه و هي أحد أساليب الإعلام الحركي).
3-السرقة: إسرق الشئ الذي قد تحتاجه سرا ( أخذ تيلر الكره المخبئة تحت ملابسه بيده اليسرى بينما يقوم بتعديل ملابسه و هو إسلوب أخر للإعلام الحركي).
4-الإمساك: إمسك بالجسم الذي تحتاجه باليد المناسبة ( قام تيلر بتعديل أكمام سترته و بدل مكان الكرة سرا من يده اليسرى إلى يده اليمنى دون ملاحظة الجمهور و هو إعلام حركي مرة أخرى).
5-التظاهر: التظاهر بأن شئ لم يحدث قد حدث بالفعل (عندما تظاهر تيلر بوقفة متباهية واضعا يده اليمنى على صدره و يده اليسرى خلف سترته ثم امسك الكرة بيده الفارغة ظاهريا فهى لم تكن فارغة بالفعل بل تحمل ليمونة صفراء كانت مخبأة خلف سترته و أمسكها عندما تظاهر بوقفته المتباهية تلك).
6-تشتيت الإنتباه: بصرف إنتباه الجمهور عن الخدعة ( أشار تيلر بيده لينظر الجمهور بعيدا إلى حيث يشير فيتشتت إنتباههم عن الخطوة القادمة و هو أسلوب "التشتيت الصريح").
7-التبديل: بعد تشتيت الإنتباه قم بتبديل الجسم الأصلى (التى هى الكرة ) بالجسم الذى لم يره الجمهور بعد (الليمونة الصفراء) فيبدو و كأن الكرة قد تحولت سحريا إلى ليمونة !
شاهد الفيديو مرة أخرى بتركيز أكبر لتدرك كل خدعة على حدى، و لترى كيف قام تيلر بتطبيق السبعة خطوات فى خدعته الأساسية الخاصة بالسيجارة.
الأبحاث "السحرية"
تهدف بعض الأبحاث العلمية على إجابة بعض الأسئلة الخاصة بالأساليب الإدراكية و العقلية و ذلك عن طريق إستخدام الخدع السحرية كوسيلة لا أكثر.
قام عالمي النفس "بيتر جونسون" و "لارز هول" بتجربة بحثية، يقوم خلالها المراقب بعرض صورتين لوجهين مختلفين على مجموعة من الأشخاص ، و طلب من كل شخص منهم أن يحدد أيهما أكثر جاذبية.
و بعد أن يحدد كل شخص إختياره ، يقوم المراقب بخدعة "التبديل" فيقوم بتبديل الصورة التى إختارها الشخص بالصورة الأخرى، و يعرضها عليه و يطلب منه أن يبرر إختياره لهذه الصورة.

وٌجد أن 26% فقط من الأشخاص أدركوا تغيير الصورة، أما النسبة الغالبة من الأشخاص لم يدركوا تغيير الصورة و بدءوا فى تبرير إختيارهم بناءا على الصورة الواقعة أمامهم على الرغم من كونها ليست من "إختيارهم" و هو ما يطلق عليه "عمى الإختيار".
كان الهدف من التجربة دراسة الكيفية التي يبرر بها الإنسان إختيارات و قرراته في الحياة.
لم تتوقف محاولات إستخدام الحيل السحرية في الأبحاث العلمية عن هذا الحد، فالمناطق المخية التي ترتبط بأنشطة إدراكية معينة لا تعد و لا تحصى و يمكن إستكشافها عن طريق ....السحر.
إمكانيات إستخدام السحر كمصدر للأوهام الإدراكية للمساعدة لإستكشاف الوصلات العصبية المسئولة عن المهام الإدراكية المختلفة تبدو بلا حدود.
قام علماء الأعصاب بإستعارة بعض الحيل السحرية لجعل أشخاص تحت الدراسة القيام بعملية ربط إدراكي غير صحيحة بين حدثين على أنهما "السبب و النتيجة" ، مع التصوير بالرنين المغناطيسى لمخ كل شخص.
لنفترض وقوع حدث "أ" و حدث"ب" ، و أن الحدث "أ" قد سبق الحدث"ب" فى الوقوع، فإن الإستنتاج الإدراكي الطبيعي للمخ يكون بإن الحدث "أ" لابد و أن يكون هو "السبب" في وقوع الحدث "ب" أي أنه "النتيجة".
و قد إستغلت هذا المبدأ الإدراكي للقيام بحيلة سحرية بحثية مثل خدعة إختفاء الكرة،بصب الماء عليها مثلا(الحدث "أ") فيجعلها تختفي(الحدث "ب") ! بالطبع صب الماء لا يجعل الكرة تختفي و لكنه حدث هام ليبدو و كأنه السبب في جعل الكرة تختفي فعلا.
في تجربة قام بها "كون" و "بين باريس" و "تيم هودجسون" ،تم تقسيم الأشخاص تحت التجربة إلى مجموعتين .
شاهد الأشخاص في المجموعة الاولى تسجيل فيديو لخدع سحرية تخالف قانون "السبب و النتيجة" و فيها قام الساحر بإخفاء الكرة بحيلة سحرية عن طريق حدث لا يمكن بأي حال من الأحوال أن يكون هو السبب في إختفاء الكرة ،لذا من الطبيعي ان نطلق عليه سحرا!

أما المجموعة الثانية فقد شاهدت نفس التسجيلات و لكن مع فارق أن قانون السبب و النتيجة لم يتم إختراقه اى ان الكرة لم تختفي لأن الحدث السابق لم يكن ليؤدي إلى إختفاءها و هذا طبيعي جدا فهو لم يكن سحرا!

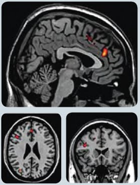
فى كلا الحالتين السابقتين تم التقاط صور لمخ الأشخاص تحت التجربة و لوحظ نشاط زائد في منطقة في المخ معروفة بإسم القشرة الحزامية الامامية في الأشخاص الذين شاهدو الخدعة السحرية عن الأشخاص الذين شاهدوا المشاهد العادية، لذا فيعتقد أن هذه المنطقة من المخ ذات دور هام في تحليل العلاقات المنطقية بين الأشياء و الأحداث لمختلفة في حياتنا.

كم نستمتع عندما نرى الخدع السحرية و كم ننبهر بها و نعشقها برغم من عدم فهمنا لها و ذلك لأن الإنسان بطبيعته يعشق الغموض و ما ان يرى شئ غريب حتى يطلق عليه "سحر".
من جانب آخر فهو وسيلة فعالة لإستكشاف الوظائف الإدراكية المختلفة في مخ الإنسان لذا و لكي نفك طلاسم المخ ....لابد و أن نستخدم طلاسم السحر.
إنتهى الجزء الثالث و الاخير من موضوع السحر و خداع الدماغ، و شكرا على المتابعة.gif)
هناك تقنية أخرى نضمها للقائمة السابقة سوف نتعرف عليها في الجزء الثالث و الأخير و سوف نتعرف على الأبحاث "السحرية" في مجال علم النفس و الأعصاب.
خداع للعقل أم خداع للعين
كان العلماء بحاجة ماسة إلى معرفة آليات المخ و الإدراك وراء الخدع السحرية لكي تنجح.
كانت اول الدراسات في هذا المجال عام 2005 بواسطة الباحثين "جوستاف كون" و "بينجامين تاتلر".
أحد خطوات تجربة الباحثين كون و تاتلر ،القيام بعرض خدعة سحرية على الأشخاص محل التجربة بينما يتم ملاحظة و قياس حركة العينين.
قام "كون" بعرض خدعة سحرية بإخفاء سيجارة خلف المنضدة و كان الهدف من الخدعة الإجابة عن سؤال و هو: هل السبب وراء عدم فهم المشاهد للحيلة وراء الخدعة ، هو أنه لم يكن ينظر في المكان المناسب في الوقت المناسب أم أنه لم يكن حاضر الذهن بغض النظر عن إتجاه عينيه؟ و كانت الإجابة واضحة: لا فارق أين ينظر المشاهد فهو لن يرى الخدعة مهما حدث!!
بحث علمي أخر أجرى لنفس الهدف لكن بإستخدام خدعة أخرى " الكرة المختفية" و التي تعطي دليل أخر على أن الساحر قادر على خداع المشاهد على مستوى إدراكي عالي و أن إتجاه عين المشاهد غير هام لإحداث التأثير المطلوب.
في خدعة الكرة المختفية ، يمسك الساحر بكرة في يده فيرميها ثم يلتقطها عدة مرات متتالية و في أخر مرة يتظاهر أنه سوف يلقي بها في الهواء و إذا بها تختفي فجأة!!
تكمن الخدعة وراء حركة عين الساحر و رأسه نفسه إذا ان مسار عينه و حركة رأسه يتبع مسار حركة الكرة و في أخر مرة يتظاهر بإلقاء الكرة ، يرى المشاهد حركة عينيه تتبع مسار الكرة و كأنه ألقى بها فعلا في الهواء و لكنه لم يفعل في الحقيقة بل أخفاها في يده ، فتبدو الخدعة و كأن الكرة خرجت من يد الساحر ثم إختفت في الهواء!
بعد سنة من بحثه مع "تاتلر" تعاون "كون" مع عالم الاعصاب "مايكل لاند" ليكتشفا سويا أن المُشاهد لم يكن ينظر إلى المكان الذي إدعى إختفاء الكرة فيه بل أن حركة عين و رأس الساحر مع الكرة كان ضروريا لإتمام الخدعة، لأنها تعمل كنوع من "تشتيت الإنتباه الخفي" بأنه حوّل "إدراك" المشاهد و ليس "العينين" إلى المكان الذي من المفترض أن تتواجد الكرة فيه.
على مستوى خلايا المخ ، وجد "كون" و"لاند" ان الخلايا العصبية التي إستجابت إلى "الحركة الضمنية" للكرة بناءا على مسار حركة عين الساحر و رأسه و التي أعطت توقع بحركة الكرة في الهواء رغم أنها لم تحدث، تقع في نفس المنطقة في المخ حيث تتواجد الخلايا العصبية البصرية التي تنشط في حالة إدراك "الحركة الحقيقة".
فإذا كانت كلتا الحركة الضمنية و الحقيقة تنشط نفس الوصلات العصبية، فلا شك بأن تبدو الخدعة حقيقية تماما.
"عمى التغيير" و "العمى الغير مقصود" ليست الخدع الإدراكية الوحيدة في جعبة الساحر بل هناك أيضا " الإعلام الحركي" و فيه يقوم الساحر بحركة قد تبدو تلقائية مثل حك الرأس باليد ، تعديل الملابس أو القبعة ، و لكن الساحر في هذه الحالات لم يكن يضمر النية الحسنة بل هي جزء لا يتجزأ من الخدعة ، و هذه الطريقة أفضل من القيام بحركة غير منطقية مثل أن يرفع الساحر يده بدون سبب معين يثير الشك لدى الجمهور.
نرى مثال واضح لأساليب "تشتيت الإنتباه الخفي" و "الإعلام الحركي" فى هذا الفيديو للساحرين الشهيرين "بين" و "تيلر"، تابع كل حركة بهدوء و فى جميع الحالات سوف تنخدع بسهولة!
http://www.youtube.com/watch?v=n0JfS...layer_embedded
يسرد "بين" في الفيديو السابق السبعة حيل الأساسية للخدع السحرية بينما يقوم بها تيلر عمليا و هي:
1-أخفي في راحة اليد: و هو أن تبدو بأنك ممسك بشئ في يدك برغم من أنها فارغة أو تمسك بشئ في يدك مع إبداء أنها فارغة (حينما أبدى تيلر بأنه ممسك بالكرة في يده اليسرى و وضعها في جيبه على الرغم من أنها موجودة فعليا في يده اليمنى).
2-التخبئة: و هو أن تخبئ الجسم الذي تمسكه في يدك بحركة خاطفة دون أن يستطيع أحد الملاحظة (عندما قام تيلر بإمساك السيجارة بيده يمنى التي يمسك بها الكرة، و يعدل هندامه بيده اليسرى ليلتقط الكره سراً داخل ملابسه و هي أحد أساليب الإعلام الحركي).
3-السرقة: إسرق الشئ الذي قد تحتاجه سرا ( أخذ تيلر الكره المخبئة تحت ملابسه بيده اليسرى بينما يقوم بتعديل ملابسه و هو إسلوب أخر للإعلام الحركي).
4-الإمساك: إمسك بالجسم الذي تحتاجه باليد المناسبة ( قام تيلر بتعديل أكمام سترته و بدل مكان الكرة سرا من يده اليسرى إلى يده اليمنى دون ملاحظة الجمهور و هو إعلام حركي مرة أخرى).
5-التظاهر: التظاهر بأن شئ لم يحدث قد حدث بالفعل (عندما تظاهر تيلر بوقفة متباهية واضعا يده اليمنى على صدره و يده اليسرى خلف سترته ثم امسك الكرة بيده الفارغة ظاهريا فهى لم تكن فارغة بالفعل بل تحمل ليمونة صفراء كانت مخبأة خلف سترته و أمسكها عندما تظاهر بوقفته المتباهية تلك).
6-تشتيت الإنتباه: بصرف إنتباه الجمهور عن الخدعة ( أشار تيلر بيده لينظر الجمهور بعيدا إلى حيث يشير فيتشتت إنتباههم عن الخطوة القادمة و هو أسلوب "التشتيت الصريح").
7-التبديل: بعد تشتيت الإنتباه قم بتبديل الجسم الأصلى (التى هى الكرة ) بالجسم الذى لم يره الجمهور بعد (الليمونة الصفراء) فيبدو و كأن الكرة قد تحولت سحريا إلى ليمونة !
شاهد الفيديو مرة أخرى بتركيز أكبر لتدرك كل خدعة على حدى، و لترى كيف قام تيلر بتطبيق السبعة خطوات فى خدعته الأساسية الخاصة بالسيجارة.
الأبحاث "السحرية"
تهدف بعض الأبحاث العلمية على إجابة بعض الأسئلة الخاصة بالأساليب الإدراكية و العقلية و ذلك عن طريق إستخدام الخدع السحرية كوسيلة لا أكثر.
قام عالمي النفس "بيتر جونسون" و "لارز هول" بتجربة بحثية، يقوم خلالها المراقب بعرض صورتين لوجهين مختلفين على مجموعة من الأشخاص ، و طلب من كل شخص منهم أن يحدد أيهما أكثر جاذبية.
و بعد أن يحدد كل شخص إختياره ، يقوم المراقب بخدعة "التبديل" فيقوم بتبديل الصورة التى إختارها الشخص بالصورة الأخرى، و يعرضها عليه و يطلب منه أن يبرر إختياره لهذه الصورة.
وٌجد أن 26% فقط من الأشخاص أدركوا تغيير الصورة، أما النسبة الغالبة من الأشخاص لم يدركوا تغيير الصورة و بدءوا فى تبرير إختيارهم بناءا على الصورة الواقعة أمامهم على الرغم من كونها ليست من "إختيارهم" و هو ما يطلق عليه "عمى الإختيار".
كان الهدف من التجربة دراسة الكيفية التي يبرر بها الإنسان إختيارات و قرراته في الحياة.
لم تتوقف محاولات إستخدام الحيل السحرية في الأبحاث العلمية عن هذا الحد، فالمناطق المخية التي ترتبط بأنشطة إدراكية معينة لا تعد و لا تحصى و يمكن إستكشافها عن طريق ....السحر.
إمكانيات إستخدام السحر كمصدر للأوهام الإدراكية للمساعدة لإستكشاف الوصلات العصبية المسئولة عن المهام الإدراكية المختلفة تبدو بلا حدود.
قام علماء الأعصاب بإستعارة بعض الحيل السحرية لجعل أشخاص تحت الدراسة القيام بعملية ربط إدراكي غير صحيحة بين حدثين على أنهما "السبب و النتيجة" ، مع التصوير بالرنين المغناطيسى لمخ كل شخص.
لنفترض وقوع حدث "أ" و حدث"ب" ، و أن الحدث "أ" قد سبق الحدث"ب" فى الوقوع، فإن الإستنتاج الإدراكي الطبيعي للمخ يكون بإن الحدث "أ" لابد و أن يكون هو "السبب" في وقوع الحدث "ب" أي أنه "النتيجة".
و قد إستغلت هذا المبدأ الإدراكي للقيام بحيلة سحرية بحثية مثل خدعة إختفاء الكرة،بصب الماء عليها مثلا(الحدث "أ") فيجعلها تختفي(الحدث "ب") ! بالطبع صب الماء لا يجعل الكرة تختفي و لكنه حدث هام ليبدو و كأنه السبب في جعل الكرة تختفي فعلا.
في تجربة قام بها "كون" و "بين باريس" و "تيم هودجسون" ،تم تقسيم الأشخاص تحت التجربة إلى مجموعتين .
شاهد الأشخاص في المجموعة الاولى تسجيل فيديو لخدع سحرية تخالف قانون "السبب و النتيجة" و فيها قام الساحر بإخفاء الكرة بحيلة سحرية عن طريق حدث لا يمكن بأي حال من الأحوال أن يكون هو السبب في إختفاء الكرة ،لذا من الطبيعي ان نطلق عليه سحرا!
أما المجموعة الثانية فقد شاهدت نفس التسجيلات و لكن مع فارق أن قانون السبب و النتيجة لم يتم إختراقه اى ان الكرة لم تختفي لأن الحدث السابق لم يكن ليؤدي إلى إختفاءها و هذا طبيعي جدا فهو لم يكن سحرا!
فى كلا الحالتين السابقتين تم التقاط صور لمخ الأشخاص تحت التجربة و لوحظ نشاط زائد في منطقة في المخ معروفة بإسم القشرة الحزامية الامامية في الأشخاص الذين شاهدو الخدعة السحرية عن الأشخاص الذين شاهدوا المشاهد العادية، لذا فيعتقد أن هذه المنطقة من المخ ذات دور هام في تحليل العلاقات المنطقية بين الأشياء و الأحداث لمختلفة في حياتنا.
كم نستمتع عندما نرى الخدع السحرية و كم ننبهر بها و نعشقها برغم من عدم فهمنا لها و ذلك لأن الإنسان بطبيعته يعشق الغموض و ما ان يرى شئ غريب حتى يطلق عليه "سحر".
من جانب آخر فهو وسيلة فعالة لإستكشاف الوظائف الإدراكية المختلفة في مخ الإنسان لذا و لكي نفك طلاسم المخ ....لابد و أن نستخدم طلاسم السحر.
إنتهى الجزء الثالث و الاخير من موضوع السحر و خداع الدماغ، و شكرا على المتابعة

Comment